MASH进展 | 海思科THR-β激动剂拟获纳入突破性治疗,司美格鲁肽新适应症国内申报上市
非酒精性脂肪性肝炎(MASH/MAFLD)是指在脂肪肝基础上(肝细胞内脂肪含量>5%),出现小叶炎症和肝细胞气球样变性,并排除酒精和药物等病因,MASH还可进展为肝纤维化、肝硬化甚至肝细胞癌。

图片来源于网络
01 治疗药物进展
目前MASH领域获批的新药主要是THR-β激动剂和GLP-1,在研的后期临床阶段产品主要是FGF21。
THR-β激动剂Resmetirom的2025年全年销售额9.58亿美元。该药物于2024年3月获FDA批准上市,是近四十年来全球首款用于治疗MASH的药物,该小分子口服药物可被肝细胞特异性摄取,通过THR-β调控多个肝脏代谢通路,从而减少脂肪堆积、促进脂肪酸代谢、减少肝脏炎症和调节胆固醇代谢。

Resmetirom药效
2025年8月15日,FDA基于一份补充新药申请(sNDA)批准了诺和诺德重磅产品司美格鲁肽(2.4mg)的新适应症,用于治疗伴中度至重度肝纤维化(F2-F3期)的非肝硬化MASH成人患者,该疗法需联合低热量饮食及增加体力活动。此次获批使司美格鲁肽成为全球首个且唯一获批用于治疗MASH的GLP-1受体激动剂。
2026年3月3日,CDE官网显示,诺和诺德「司美格鲁肽注射液」新适应症在国内申报上市,并拟纳入优先审评。

Resmetirom与GLP-1药效对比:

02海思科HSK31679片
2026年3月4日,CDE官网显示,海思科HSK31679片拟获纳入突破性治疗药物程序,用于治疗非酒精性脂肪肝炎。

图片来源:CDE官网
HSK31679片是海思科自主研发的一种高选择性甲状腺激素β受体(THR-β)激动剂,通过与甲状腺激素β受体结合,影响脂代谢过程中的关键步骤,起到降血脂和肝脏脂肪的作用。临床数据显示,在治疗MAFLD第12周时,HSK31679 40mg、80mg、160mg、安慰剂组LFC分别下降14.0%、22.7%、29.2%、4.1%。对于LFC较基线下降≥30%的比例,10mg依折麦布组为11.9%,安慰剂组为17.1%;HSK31679 40mg组为23.8%,80mg组为47.6%,160mg组为50.0%。

随着GLP-1 类与THR-β 激动剂率先获批,代谢靶点药物成为研发核心,相信将进一步提升临床获益,覆盖更广泛患者群体。
动物模型研究进展:


中洪博元非酒精性脂肪肝炎模型
一、MCD饲料诱导C57BL小鼠
实验动物:C57BL/6J小鼠
造模方法:MCD饲料喂养,自由饮水
阳性药物:辛伐他汀
模型评价:
1.体重变化:在MCD饲养阶段,模型组及模型+辛伐他汀组体重出现下降趋势。

2.肝脏指数:模型组肝脏指数有上升的趋势,模型+辛伐他汀组的肝脏指数显著低于(p<0.001)模型组。

3.肝脏病理
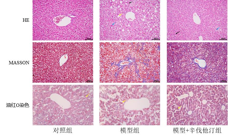
对照组肝脏结构正常。模型组肝脏出现大量脂质空泡,肝细胞气球样变及炎性细胞浸润,较对照组有极显著病理损伤(p<0.001),且模型组肝脏纤维化程度高于(p<0.05)对照组,油脂小体体积大且密集。模型+辛伐他汀组脂质空泡少,肝细胞气球样变及炎性细胞浸润有所改善,病理损伤程度显著与模型组差异非常显著(p<0.01),且纤维化程度显著轻于(p<0.05)模型组,油脂小体体积和密度小于模型组。

肝细胞脂肪样变(黄色箭头)肝细胞气球样变(蓝色箭头)炎性细胞浸润(黑色箭头)
*表示模型组与对照组相比差异显著(p<0.05),***表示模型组与对照组相比差异极显著(p<0.05);#表示模型+辛伐他汀组与模型组相比差异显著
4.血清转氨酶水平
模型组血清ALT水平非常显著高于(p<0.01)对照组,模型+辛伐他汀组血清ALT显著低于(p<0.05)模型组。模型组血清AST水平极显著高于(p<0.001)对照组,模型+辛伐他汀组血清AST较模型组有下降趋势。

**表示与模型组相比,P<0.01,***表示与模型组相比,P<0.05;#表示模型+辛伐他汀组与模型组相比差异显著(p<0.05)
二、HFD联合化学药物诱导Wistar大鼠
实验动物:Wistar大鼠
造模方法:高脂饮食+四氯化碳联合诱导
实验流程:

模型评价:

对照组肝脏颜色形态正常。模型组肝脏表观呈黄褐色且光泽油腻肥大。

对照组肝脏结构正常。模型组肝脏出现大量脂质空泡,肝细胞气球样变及炎性细胞浸润,较对照组有极显著病理损伤(p<0.001),且模型组肝脏纤维化程度高于(p<0.05)对照组,油脂小体体积大且密集。


免责声明:本号内容仅供读者学习和交流。文章、图片等版权归原作者享有,如有侵权,请留言联系。
关于中洪博元
江西中洪博元生物技术有限公司成立于2015年,11年来坚持大规模标准化创制人类疾病动物模型,开展更接近人类疾病发生发展机制、更有临床转化价值的原创动物模型技术攻关,目前,中洪博元已合作药企200余家,开展项目300余项,积累了丰富的药理药效项目经验。
中洪博元秉承助力新药研发理念,开展基于动物疾病模型的药效研究,拥有获得AAALAC完全认可的实验平台。公司配备了全种类实验场地,大小鼠SPF级标准实验室3000平米,猪、犬、羊、兔大动物实验室4000平米,检测中心5000平米。平台使用SPF级动物,配备10万级洁净度屏障环境,在规范的SOP和严格的QA流程管理下,确保每个实验高标准完成。
